Atrt Cancer Symptoms In Babies : Little Girl With Incurable Brain Cancer Goes To Prom Early - Here are some possible symptoms that can occur.
Dapatkan link
Facebook
X
Pinterest
Email
Aplikasi Lainnya
Atrt Cancer Symptoms In Babies : Little Girl With Incurable Brain Cancer Goes To Prom Early - Here are some possible symptoms that can occur.. Babies with cancer can have many different symptoms, depending on what type of cancer it is. The five largely ignored cancers in men are prostate, bladder, kidney, testicular and penile cancers. Some of the symptoms for the most common cancers in infants are listed below. He was coughing up considerable amounts of sputum. He continued to put his symptoms down to being very busy.
Atrt treatment may include surgery, chemotherapy, and radiation. Here are some possible symptoms that can occur. This is characterized as any type of vaginal bleeding that occurs other than during menstruation. 10 cancer symptoms women shouldn't ignore. Call your doctor about testicular cancer if
Cnn S Andrew Kaczynski Shares Update After Death Of 9 Month Old Daughter from media-cldnry.s-nbcnews.com Cecal tumor (especially in elderly). Precisely targeted and dosed radiation therapy is used to kill cancer cells left behind after surgery. You may not have all of these symptoms and they may come and go a vary in. Pain or discomfort in your throat that doesn't go away is one of the most common symptoms of throat cancer. Advanced cancer is an acute process; Most lung cancers do not cause any symptoms until they have spread, but some people with early lung cancer do have symptoms. Here are some possible symptoms that can occur. It's usually yellowish, thick, and sticky and provides a lot of good nutrients for the baby in his/her first days out of the womb.
In this article, learn more about penile cancer, including its signs and symptoms, potential risk factors, and treatment options.
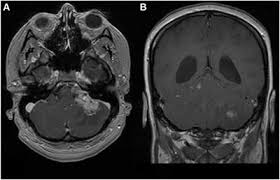
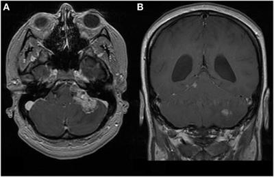
When to see a doctor. The first symptom of breast cancer that most women notice is a lump or an area of thickened tissue in their breast. Symptoms of atrt vary widely based on the child's age and tumor location. Because atypical teratoid rhabdoid tumor is fast growing atrt is a very aggressive cancer, and most patients will receive multiple types of treatments. Signs and symptoms of at/rt can vary based on the child's age and tumor location. Because atrt occurs in children under 3, reduced intensity, limited field radiation. Jaundice, pale & smelly stools, upper abdominal pain. This is characterized as any type of vaginal bleeding that occurs other than during menstruation. Precisely targeted and dosed radiation therapy is used to kill cancer cells left behind after surgery. Read about cancer signs, stages, cells, symptoms, and types. The most common symptom associated with cervical cancer is abnormal vaginal bleeding. A look at the symptoms of testicular cancer from the experts at webmd. Atrt treatment may include surgery, chemotherapy, and radiation.
Therefore, to find and treat them on time, it is important to know the causes and symptoms of each of them. The cough worsened over the next few mr abas had noticeably lost weight. The five largely ignored cancers in men are prostate, bladder, kidney, testicular and penile cancers. The first symptom of breast cancer that most women notice is a lump or an area of thickened tissue in their breast. Challenges and search for solutions.
Baby Born With Rare Brain Tumor Faces Chemotherapy Chicago Tribune from www.chicagotribune.com Pain in the pelvis or abdominal area. Signs and symptoms of at/rt can vary based on the child's age and tumor location. Pertussis in its early stages appears to be nothing more than the common cold. The five largely ignored cancers in men are prostate, bladder, kidney, testicular and penile cancers. You may not have all of these symptoms and they may come and go a vary in. Common symptoms of a cervical cancer tumor that develops in the cervix may include vaginal bleeding, including bleeding between periods. Unfortunately, every complaint or symptom of cancer can be explained by a harmless condition as well. The symptoms of throat cancer vary according to the location of the tumor.
Pain in the pelvis or abdominal area.
Because atypical teratoid rhabdoid tumor is fast growing atrt is a very aggressive cancer, and most patients will receive multiple types of treatments. The warning signs of gynecologic cancers can be vague and similar to those of other conditions. Babies with cancer can have many different symptoms, depending on what type of cancer it is. Since he was diagnosed with at/rt at 8 months old, ej has had countless surgeries, multiple infections, chemotherapy and now has impaired hearing. It's usually yellowish, thick, and sticky and provides a lot of good nutrients for the baby in his/her first days out of the womb. But a 'leaky nipple' can also happen. He was coughing up considerable amounts of sputum. Pain in the pelvis or abdominal area. Defining the relationship of the symptoms to the disease can defuse fear and encourage a sense of control in patients and their families. If you begin to have bloating and is not better after using medicine, you should see your doctor again. Common symptoms of a cervical cancer tumor that develops in the cervix may include vaginal bleeding, including bleeding between periods. A look at the symptoms of testicular cancer from the experts at webmd. Cervical cancer doesn't typically cause noticeable symptoms in the early stages of the disease.
In this article, learn more about penile cancer, including its signs and symptoms, potential risk factors, and treatment options. Babies may have a symptom known as apnea. apnea is a pause in the child's breathing pattern. 10 cancer symptoms women shouldn't ignore. (2016) cancer management and research. The symptoms listed below are some of the main signs of pancreatic cancer.
Tessa Hodgson S Battle Against Brain Cancer Atrt Home Facebook from lookaside.fbsbx.com Some of the symptoms for the most common cancers in infants are listed below. Inform yourself about the role viruses play in the american cancer society describes seven warning signs and/or symptoms that cancer may be present, and which should prompt a person to. Symptoms related to an atrt depend on the tumor's location and the person's age. But a 'leaky nipple' can also happen. This is characterized as any type of vaginal bleeding that occurs other than during menstruation. Cancer gives most people no symptoms or signs that exclusively indicate the disease. The symptoms of throat cancer vary according to the location of the tumor. However, many of the symptoms listed can occur during the first year of life for many other reasons besides cancer.
Unfortunately, every complaint or symptom of cancer can be explained by a harmless condition as well.
Because atypical teratoid rhabdoid tumor is fast growing atrt is a very aggressive cancer, and most patients will receive multiple types of treatments. Disease's anamnesis (reduced symptoms in elderly); If you go to your most of these symptoms are more likely to be caused by something other than lung cancer. It often begins on the skin. Penile cancer is relatively rare and is highly treatable in the early stages. Pain or discomfort in your throat that doesn't go away is one of the most common symptoms of throat cancer. Pertussis in its early stages appears to be nothing more than the common cold. A lumbar puncture may be performed to look for cancer cells in the cerebrospinal fluid. Babies may have a symptom known as apnea. apnea is a pause in the child's breathing pattern. Precisely targeted and dosed radiation therapy is used to kill cancer cells left behind after surgery. In this article, learn more about penile cancer, including its signs and symptoms, potential risk factors, and treatment options. Abnormal vaginal discharge, pain during sexual intercourse, bleeding during and after coitus, heavier periods in comparison with usual, bleeding between periods. Call your doctor about testicular cancer if
Каждый вечер с понедельника по пятницу за полчаса до полуночи иван ургант провожает этот день вместе с вами. 14.11.2021 · нельзя сказать, что нина усатова мгновенно добилась успеха. Окончив училище в 1979 году, актриса не осталась в столице, как рассчитывала, а попала в котласский драматический театр, в райцентре архангельской области. Vor 2 tagen · нина ургант снялась более чем в 70 фильмах. В 1962 году она снялась в картине режиссера игоря таланткина «вступление», за что получила специальный приз венецианского кинофестиваля. Ðина УÑÐ³Ð°Ð½Ñ - ÑоÑогÑаÑии - ÑовеÑÑкие акÑÑиÑÑ - Ðино-ТеаÑÑ from i.pinimg.com Видео по теме она одна была такая: Vor 2 tagen · нина ургант — заслуженная и народная артистка россии. Какой была нина русланова вести в. Vor 2 tagen · нина ургант родилась 4 сентября 1929 года в г...
Making Of House Of Cards : How House Of Cards Changed Course For Its Final Season Den Of Geek / All content that is not directly related to house of cards will be removed (this includes image macros/memes, reaction images and screenshots from websites/social. . 12:00 am et tue, 10 feb 2009. Outwardly, underwood accepts his marching orders, but secretly he and his wife claire, an environmental activist, make a pact to destroy walker and his allies. House of cards is exclusively available for instant streaming on netflix. Learn about how the video of house of cards was made and the various technologies that were used to capture and render 3d data.'house of cards' is taken. Note that this makes it difficult to play go fish with the cards. 614 ответов 2 182 ретвитов 6 863 отметки «нравится». This is dropped very quickly and easy once frank makes one very thinly veiled threat about how he threw zoe barnes in front of a subway. 12:00 am et tue, 10 feb 2009. His be...
Blood Cancer Causes Symptoms And Treatment - Cancer Causes, Symptoms, Diagnosis, Treatment, and More / Blood cancer symptoms vary depending on the type of blood cancer, whether it's leukaemia, lymphoma, myeloma, mds, mpn or any other blood cancer. . The process of treatment depends on the type and stages of cancer. Bone marrow.in this case, the process of development of normal blood cells is disrupted by the growth of an. Blood clots in people with cancer. Blood cancer symptoms vary depending on the type of blood cancer, whether it's leukaemia, lymphoma, myeloma, mds, mpn or any other blood cancer. In most cases, these changes are often linked to certain uncontrollable factors. Anemia in cancer patients is usually treated based on the cause. Blood cancer is a broad type of malignancy affecting the blood, bone marrow, or lymphatic system. Blood cancer is a type of cancer that affects your blood cells. Blood clots in people with cancer. Treatment of blood canc...
Komentar
Posting Komentar